Foto: cdolivaismoscavide/Instagram

Jogador do Olivais e Moscavide parte perónio durante jogo

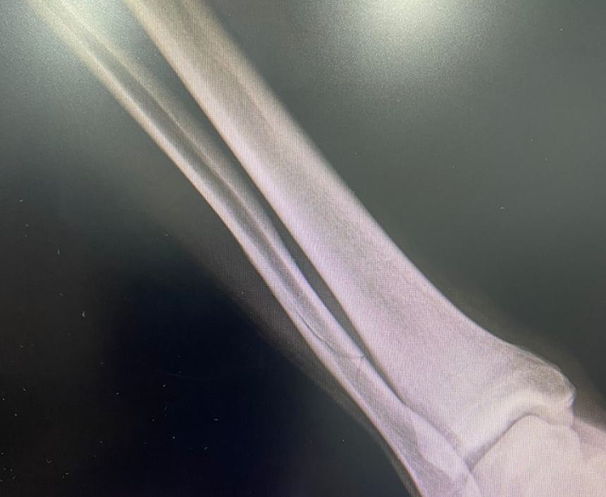
André Frias sofreu a lesão no duelo com a União de Tires

«No decorrer do nosso jogo contra a UD Tires o nosso jogador André Frias contraiu uma grave lesão, fratura de perónio que o irá afastar das competições no mínimo por 5 meses. Esta lesão surge após uma entrada cobarde e assassina que motivou a expulsão do faltoso.» Assim denunciou o Olivais e Moscavide a grave lesão que o seu jogador sofreu num jogo da 1.ª Divisão da AF Lisboa deste sábado, dia 10 de fevereiro.

O clube lisboeta acusou ainda o emblema de Tires de «tratar um ato cobarde e assassino como um lance de azar», antes de criticar também fortemente o atleta que cometeu a falta: «Um ato destes não pode acontecer no futebol profissional, amador ou de rua. Um jogador que comete um ato destes não tem lugar no futebol.»

André Frias é um lateral de 30 anos que fez carreira em vários clubes dos escalões inferiores da região de Lisboa, tendo nomeadamente passado pelo Belenenses entre 2020 e 2022, onde disputou a 1.ª Divisão distrital e o Campeonato de Portugal. 

O jogo entre Olivais e Moscavide e União de Tires terminou empatado a um. A equipa de Moscavide está no 6.º lugar do campeonato e a União está em 14.º em posição de descida de divisão.